IMG-LOGO
App

古人怎麼治癌?木乃伊揭秘:往腸子灌銅!

by Heho健康 - 2019-12-29 11:00 5239 Views

站內預覽

先在站內看重點摘要,確認後再前往原始新聞網站。

在最近一期的《 Lancet Oncol 》上,有一個非常有趣的病例。從這個病例中,我們可以管中窺豹,看看400多年前的古人是怎樣用「重金屬」治療癌症的。

2016年,義大利那不勒斯出土了一具來自16世紀、自然保存的木乃伊,在它身上,學者們竟然發現了結腸癌。這名死者生前曾是貴族王子,斯蒂利亞諾的路易吉·卡拉法,遺體保存完好到令人難以置信。

不過,當學者們對木乃伊進行屍檢時,發現他有大腸癌。不過比較奇怪的是,這位王子的闌尾組織保存得非常完整,甚至還找得到糞便。這一點就非常奇怪了,因為腸道一直是人體中最容易腐爛的器官。

研究團隊將部分切片拿去化驗,結果發現,腸道中有含量非常高的重金屬—銅跟鉛。腸道中高濃度的鉛和銅顯著減少了腐敗菌群,這解釋了腫瘤細胞保存完好的現象。科學家認為,王子腸道裡能有這麼高濃度的鉛和銅,只能是口服或通過肛門灌進去的。

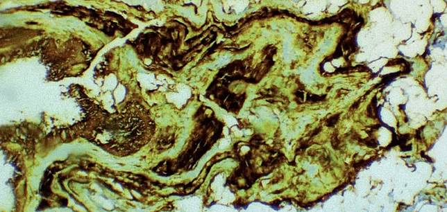
圖說:王子的腸道切片/圖片來源:論文截圖

把重金屬當仙丹 到底是病死的還是毒死的?

怪了,死者腸子裡這麼多鉛和銅是為什麼?原來古人治療癌症的絕招就是服用有毒重金屬。受化學療法醫學的影響,鉛和銅的使用在文藝復興時期很流行。

早在15世紀,由內科醫生安東尼奧·瓜涅裡發明的所謂「處女奶」(virginal milk,醋酸鉛)就被用於許多疾病的「治療」。這東西危險得很,會導致失眠頭痛、不孕不育、流產死胎、智力低下,繁榮一時的古羅馬皇室,甚至因服用鉛劑的流行而亡國。

16世紀,瑞士醫生、煉金術士帕拉塞爾蘇斯,終生致力於向醫學界推薦各種金屬用於疾病的治療,其中,汞、銻、金、銅和鉛等重金屬成為了醫生們最感興趣的最愛,他們樂此不疲地開展了各種試驗。據說,他們認為「醋酸鉛」是非常好的口服止血劑。

回到這次發現的木乃伊,卡拉法王子的癌症已發展到晚期,可能已有血便表現,說明存在腸出血,醫生很可能因此為他使用了類似的含鉛藥劑用於止血。這也解釋了為什麼他的腸道組織能保存得如此完好,但我們很難確定,到底是癌症還是有毒的鉛劑要了他的命。

大腸癌治療方式多元 關鍵還是及早篩檢、及早治療

對比過去,我們或許應該非常慶幸生活在這樣一個醫學發達的時代,癌症已有了五花八門的多種療法,不至於被各種奇奇怪怪甚至有毒有害的療法取走小命。

中山醫學大學附設醫院大腸直腸外科主任丁文謙表示,大腸癌有許多治療方式選擇,包括傳統手術、化學治療、放射治療,以及其他新穎的療法。現今手術越來越傾向微創、無創,不過最傳統的開腹手術目前仍然有在執行,「因為有些病人發現大腸癌的時候腫瘤已經太大,甚至已經侵犯到了其他的器官,手術比較複雜,這時候就會採用最傳統的開腹手術。」

除此之外,在台灣,由於大腸癌多發生在 50 歲以後,因此,國民健康署補助 50-74歲的民眾,每 2年 1 次糞便潛血檢查。如果檢查有異,可以再透過大腸鏡做檢查。大腸癌是可以早期發現早期治療,而且治癒率很高的癌症。根據統計,早期的大腸癌如果妥善治療,存活率高達90%以上。

文/林以璿 圖/林以璿

參考資料:

Fornaciari A, Gaeta R, Chericoni S, et al. History of Medicine—Cancer and therapy in the 16th century: the unique case of adenocarcinoma in Luigi Carafa, prince of Stigliano.

>> 加入 Heho健康 LINE@ 好友,健康知識不錯過!

延伸閱讀:

【Heho Topics】鹿胎盤會致癌還治癌?張薏雯博士專訪

「靠牆站」就能檢測骨質疏鬆 醫:這個運動讓骨質常保25歲

查看原始文章