IMG-LOGO
App

腹痛檢查胃裡滿是「珍珠」!要吃珍珠請做到 3 件事

by Heho健康 - 2020-01-05 11:00 5239 Views

站內預覽

先在站內看重點摘要,確認後再前往原始新聞網站。

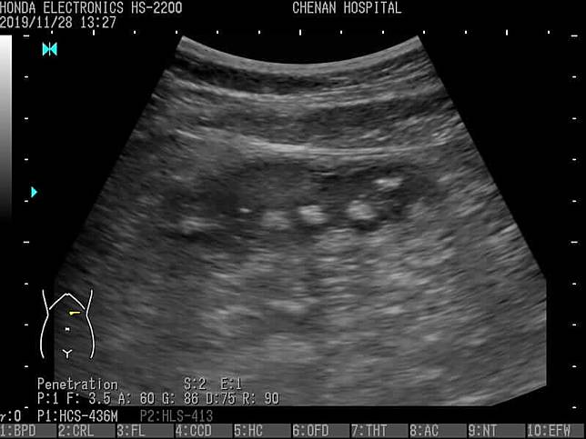
兒科醫師陳敬倫近日於臉書分享了一張照片,展示了空腹喝珍珠奶茶時,腹部超音波還可以清楚看到珍珠的輪廓。他表示,這幾個月遇到好幾位肚子痛的病患,都是前一天喝了一大杯珍珠奶茶的孩子,超音波檢查發現胃裡都是一顆一顆還沒消化的珍珠。

陳敬倫表示,對兒童來說,珍珠本來就不易消化,珍珠奶茶也含咖啡因,不適合孩子過度飲用,而且一杯珍珠奶茶熱量都600大卡起跳,幾乎是一餐的熱量,兒童應從小養成喝白開水、不喝含糖飲料的習慣,避免攝取過多熱量。

其實不只是小孩子,非常多的成年人也是資深珍奶控,想要他們放棄珍珠奶茶,簡直是不可能的事情。但是長久下來,高熱量又難消化的珍珠,勢必會影響健康。

因此,以下分享 3 個方式,能夠儘量降低珍珠奶茶對於我們的傷害,為美味和健康找到最大公因數。

圖說:陳敬倫展示超音波下的腹中珍珠清晰可見。/圖片來源:臭寶爸 – 兒科陳敬倫醫師粉絲專頁

1.細嚼慢嚥

先不要急著說這是廢話,就診病人中,還真有不少人就是因為幾乎沒有咀嚼珍珠就吞下肚,臨床上曾有不少因消化不良而導致膽囊炎的患者,就是因為沒有做好咀嚼的工作。

珍珠的主要成分為澱粉,通常由太白粉,及竹芋澱粉、馬鈴薯澱粉、蓮藕粉及果膠等凝結成分混合所製成的直徑5~10 公厘的澱粉球,並添加水、糖及香料,其顏色、口感依成分不同而不同。這樣的成分,一看就是難以消化的。請一定要「嚼碎」了之後再吞下去,別給身體添加負擔。

2.自製珍珠更健康

營養師蘇政瑜表示,其實手搖杯的配料還有許多比較健康的選擇,例如寒天、蘆薈等。但是按照過往經驗,民眾喜歡加珍珠就是因為其難以取代的口感,很難說換就換。從前也有店家推出較健康的寒天奶茶等,也因為銷路不佳而取消了。

其實,如果嘴饞又願意自己動手,也是可以做出Q彈的「偽珍珠」的。在減醣社團中,就有一份這樣的「偽珍珠」食譜:

把藍莓打碎加赤藻糖加熱攪拌到有點濃稠後加入洋車前子粉,就會變的很Q彈,放冷凍半小時拿出來切小丁,就可以有類似珍珠的口感。

圖說:自製珍珠一樣好吃有嚼勁!

3.「洗珍珠」也是一個減糖的好方法

除了消化不良的問題,熱量、糖分也是不能忽視的健康問題。煮得香Q無比的珍珠,在過程中少不了加入大量的糖。即使是用白開水煮珍珠,也要在撈上來之後,拌入大量的砂糖。

北醫營養醫學研究中心營養師李宛庭就吐露,其實有些手搖杯連鎖店,是可以「洗珍珠」的,如果說實在嘴饞想要吃珍珠,又不想吃到太多的熱量,請店員幫忙將珍珠過一次水,就可以洗掉很多沒必要攝取的糖分了。

文/林以璿 圖/林以璿

>> 加入 Heho健康 LINE@ 好友,健康知識不錯過!

延伸閱讀:

手搖杯好誘人 蘇政瑜營養師:3訣竅把傷害降到最低

不喝手搖杯還是瘦不了?營養師:「飯菜拌一起」是最大地雷

查看原始文章