IMG-LOGO
App

反胃、嘔吐「小症狀」就醫竟是巨大肝腫瘤 化療後還變大

by 匯流新聞網 - 2019-11-13 11:41 5239 Views

站內預覽

先在站內看重點摘要,確認後再前往原始新聞網站。

反胃、嘔吐「小症狀」就醫竟是巨大肝腫瘤  化療後還變大

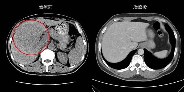
▲目前高精準性的放射治療及化學治療,副作用減輕,且有穩固的療效。(照/大林慈濟醫院提供)

匯流新聞網記者陳鈞凱/台北報導

出現反胃、嘔吐的症狀,57歲的翁先生3年前因為出現這些一般人眼中的「小症狀」就醫,沒想到檢查卻赫然發現肝臟已有一顆7公分大小的腫瘤,確診為小細胞B淋巴瘤,且在進行化學治療之後,肝腫瘤反而變大為9公分,最後在醫師建議下,使用立體定位放射治療後,腫瘤才完全消失。

大林慈濟醫院放射腫瘤科醫師林宏益指出,翁先生接受化療後,肝腫瘤反而由7公分增大至9公分,屬於對化療頑固性的淋巴瘤,醫療團隊建議他採用高精準度的身體型立體定位放射治療合併使用腫瘤內部同步劑量調整,治療才終於見效。

幸運的是,翁先生在治療過程中就可以看到肝腫瘤有輕微縮小,且只有輕微的疲累感及食欲不振,沒有出現嚴重的副作用,治療半年後追蹤時,肝腫瘤已完全消失,持續追蹤2年,也沒有肝腫瘤復發及明顯晚期副作用,如腸阻塞或慢性肝損傷等。

大林慈濟醫院放射腫瘤科主任洪世凱表示,過去很多病人對於放射治療有很不好的印象,認為做了俗稱的「電療」(放射治療)後,體能或身體的功能會大幅損傷,而對治療十分抗拒,但目前高精準性的放射治療及化學治療,副作用減輕,且能有穩固的療效,提醒病人千萬不要放棄該有的治療,而選擇去吃偏方、草藥等,反而延誤病情。

洪世凱說,傳統的放射治療會針對放射治療的標的物,劃定範圍後,一次給予均勻的劑量,對於腫瘤外圍的正常器官較容易造成損傷,發生肝損傷或小腸損傷,新技術則能搭配同步劑量調整,讓治療中、後的副作用下降,同時對大型腫瘤的抗癌效果大幅提高。

照片來源:大林慈濟醫院提供

更多匯流新聞網報導:

家長再撐一下!腸病毒估11月底脫離流行期 雙北、宜花東還得警戒

中國登革熱爆5年來最高峰 過去少見病例的雲南、江西都列旅遊警示

【匯流筆陣】
CNEWS歡迎各界投書,來稿請寄至[email protected],並請附上真實姓名、聯絡方式與職業身份簡介。
CNEWS匯流新聞網:https://cnews.com.tw

【文章轉載請註明出處】

查看原始文章

查看更多 匯流新聞網