IMG-LOGO
App

罕見!生雙胎胞滿月突大出血「流一臉盆」 送醫3次才知禍首藏子宮

by 匯流新聞網 - 2019-11-19 11:34 5239 Views

站內預覽

先在站內看重點摘要,確認後再前往原始新聞網站。

罕見!生雙胎胞滿月突大出血「流一臉盆」  送醫3次才知禍首藏子宮

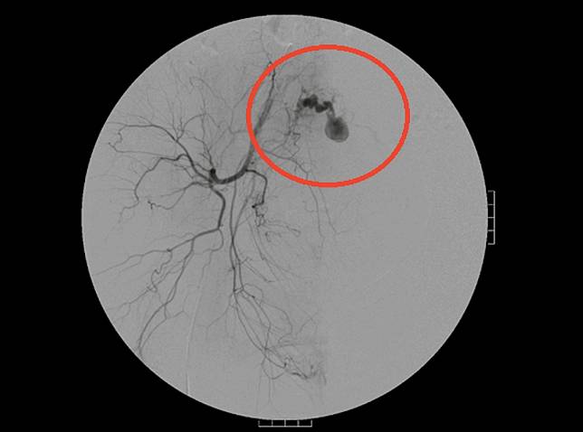
▲國泰醫院收治罕見個案,剖腹產雙胞胎,產後4周卻發生大出血。(照/國泰醫院提供)

匯流新聞網記者陳鈞凱/台北報導

孩子都滿月了,媽媽卻還鬧大出血!37歲的王小姐接受人工試管嬰兒成功誕下雙胞胎,沒想到產後4周人還在月子中心時,上廁所卻無預警發生大出血,大量血液順著大腿一直滴,血量足足有一臉盆多,甚至還流出半個手掌大血塊,緊急輸血2000cc才保住一命,同樣情形還發生3次,最後才揪出是子宮內血管瘤造成的產後大出血,臨床上十分罕見。

國泰醫院婦產科主任蔡明松表示,俗稱「血崩」的產後大出血,在台灣醫療技術好的狀況之下,發生率不到5%,且大多數為發生於剛生產完24小時內的「立即性產後出血」,多因收縮不良或產道裂傷等,至於這類的「延遲性產後出血」個案臨床上並不多見,發生率更少,僅約1%。

蔡明松進一步指出,而因為子宮內血管瘤造成的延遲性產後出血個案,查詢國內外文獻更只有10例。

王小姐的大出血狀況特殊,每一次出血都有1000到2000cc之多,儘管醫師給予藥物治療,清掉血塊,報告也都正常,顯示沒有胎盤殘餘,但只要藥效一過隨即又發生出血,前後折騰3次,進一步使用顯影劑檢查後,才發現是子宮內右側血管瘤造成的大出血,栓塞治療才解除危機。

蔡明松說,處置產後出血得視引起產後出血的原因而定,臨床上會先以藥物治療,若藥物治療無效時則採手術處理,方式包括B-Lynch縫合術、子宮切除術或經導管動脈栓塞術,其中經導管動脈栓塞術是利用血管X光攝影方式,將微導管沿股動脈尋找至出血點,再以一種栓塞物打入動脈內,或以氣球將供應子宮血液的動脈塞住,幫助產婦止血,子宮也得以保留。

蔡明松提醒,產後大出血是一種無法預期的緊急情況,包括高齡產婦、巨嬰、多胞胎、子宮腫瘤、前置胎盤、前胎剖腹產、曾有肌瘤切除手術、曾多次人工流產、凝血功能異常或有產道撕裂傷嚴重及子宮收縮功能不良的產婦,皆是高危險族群,醫護人員需特別謹慎留意,必要時事先做好預防及準備。

產婦在生產後出院至坐月子期間,也需多注意傷口及出血量,若發現惡露持續排不乾淨、且顏色都呈紅色,或突然流出大量鮮血或血塊、有發燒(出血易細菌感染)、臉色蒼白、心悸、頭暈或不正常腹痛等症狀產生時,應立即回診就醫。

照片來源:國泰醫院提供

更多匯流新聞網報導:

腎臟也會「中風」! 持續腰痛、下背痛或血壓飆高皆恐是警訊

密閉雅房搞浪漫「香氛蠟蠋點整天」 小情侶一氧化碳中毒被當殉情

【匯流筆陣】
CNEWS歡迎各界投書,來稿請寄至[email protected],並請附上真實姓名、聯絡方式與職業身份簡介。
CNEWS匯流新聞網:https://cnews.com.tw

【文章轉載請註明出處】

查看原始文章