IMG-LOGO
App

驚見血便!腹腔鏡一照見惡瘤 直腸癌來勢洶洶

by TVBS - 2019-11-07 12:03 5239 Views

站內預覽

先在站內看重點摘要,確認後再前往原始新聞網站。

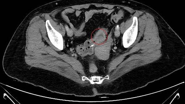
影像檢查發現秦媽媽直腸處的惡性腫瘤。圖/台北慈濟醫院提供
影像檢查發現秦媽媽直腸處的惡性腫瘤。圖/台北慈濟醫院提供

余天女兒余苑綺因直腸癌復發讓全家人陷入愁雲中,也讓外界更進一步正視這項「文明病」,台北慈濟醫院就以常見病例指出,一名年近70歲老婦,過去3、4個月以來飽受時有時無的血便之苦,經查直腸處有顆5公分的惡性腫瘤,已入侵周圍器官,確診為直腸癌第三期。雖然目前有主流術式可清除病灶且降低復發率,不過醫師提醒,大腸直腸癌在台灣發生率高,而直腸癌與飲食和生活習慣有關,7至8成與家族史無關,唯有維持均衡飲食,攝取高纖維並適量補充維他命D,才是保護腸道健康之道。

台北慈濟醫院指出,69歲的秦媽媽身體向來健康,也沒有癌症家族病史,但最近3、4個月以來卻偶爾出現血便症狀,期間前往衛生所進行大腸癌篩檢,證實糞便潛血檢查呈陽性反應,隨後轉往醫院作進一步電腦斷層掃描,在直腸處發現一顆5公分大小的惡性腫瘤,已經侵犯周圍器官,確診為直腸癌第三期。

呂宗儒醫師看診照。圖/台北慈濟醫院提供

台北慈濟醫院大腸直腸外科醫師呂宗儒表示,直腸癌的發生多半與飲食西化、生活習慣改變有關,其中有7到8成的大腸癌患者為自發性病症,沒有相關家族史。50歲以後的患者罹癌原因大多與生活習慣、長期不當飲食刺激有關;50歲前發病者則大部分受基因影響導致。

醫院指出,面對大腸直腸的惡性腫瘤,除了傳統的開腹手術和單孔、多孔腹腔鏡,新穎的3D立體腹腔鏡突破以往2D平面視野上的限制,可以清楚看到病灶部位,深入骨盆腔死角,切除腫瘤,近年來已逐漸發展成主要的手術方式。此外,由於腫瘤位置及切除範圍在肛門括約肌的患者屬於少數,因此大幅降低須另造「人工肛門」的可能。

呂醫師提醒,直腸癌出血與痔瘡出血類似,能在擦拭肛門時發現血跡,但大腸癌出血通常血液會混雜在糞便中,容易疏忽,因此提醒民眾除了定期篩檢,每天攝取100公克以下的肉類,多攝取高纖維蔬果,搭配適量的維他命D,如此均衡飲食才能保持腸道健康。

~開啟小鈴鐺 新聞搶先看~ TVBS新聞YouTube頻道改版囉! 快點我按讚訂閱

查看原始文章