IMG-LOGO
App

三高族注意! 主動脈瘤破裂恐成體內不定時炸彈

by NOW健康 - 2019-11-18 17:43 5239 Views

站內預覽

先在站內看重點摘要,確認後再前往原始新聞網站。

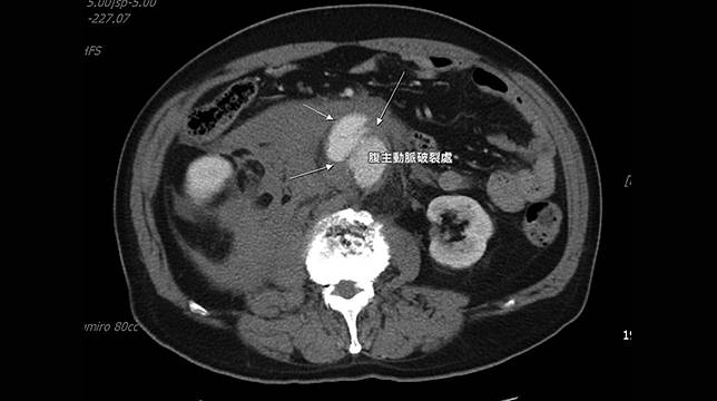
【NOW健康 傅婷/宜蘭報導】宜蘭1位67歲李先生因突發腹部劇烈疼痛至羅東博愛醫院急診就醫,經電腦斷層掃描發現腹部有顆8.2公分的腹主動脈瘤破裂,隨時有出血致死的危險,就像體內有1顆不定時炸彈爆炸,所幸在進行緊急手術治療後,搶救回寶貴性命。

主動脈是一大血管,將心臟打出的血液輸送至身體各部位,是身體血液輸送的主要幹道,為體內長度最長、體積最粗的血管。當主動脈異常膨大成囊狀,並大於血管管徑的1.5倍時,即為主動脈瘤。主動脈瘤之所以危險的原因,在於當血管膨大成囊狀,使管壁變得過薄,就存在使血管破裂的風險,一旦身體的主要血管破裂造成嚴重內出血,病人的死亡率就會瞬間提高。而一般只要主動脈瘤大於5公分就會建議手術治療,否則就如同體內的不定時炸彈,隨時有破裂的危險。

羅東博愛醫院心臟血管外科賴韋良醫師為李先生進行腹主動脈支架置放的微創手術,從兩側鼠蹊部各開1個傷口進入,放置血管內支架,讓血液直接通過支架流經全身,避免過薄的血管壁再度承受血流壓力造成破裂風險。

賴韋良醫師解釋,腹主動脈瘤的產生,除非發生破裂,感到突發性的劇烈疼痛或休克、意識改變等,否則通常不容易發現,故當主動脈瘤破裂,需立即緊急治療。根據統計,目前宜蘭地區每年約有20個案例是因為主動脈瘤破裂而就醫,通常為60歲以上的三高族群為高危險群。因此建議有三高病史的病人,除了規律服藥、定期接受追蹤之外,也要定期健檢,並建立每日量測血壓的習慣,積極控制血壓、血脂與血糖值。

▲賴韋良醫師解釋,腹主動脈瘤的產生,除非發生破裂,感到突發性的劇烈疼痛或休克、意識改變等,否則通常不容易發現。(圖/羅東博愛醫院提供)

更多健康資訊一次滿足!點此進入【NOW健康】

查看原始文章